Skip Menu
Continue
  • 79-11 41st Avenue,
  • #A107,
  • Elmhurst, NY 11373
  • Home
  • About Us
    • Our Office
    • New Patients
    • Testimonials
  • Meet Our Doctors
    • Ariel Bales-Kogan, DMD - Orthodontist
    • Nora Nakshabendi, DMD - Pedodontist
    • Lizette Hinojosa, DDS - GP/General
    • Christine Kim, DDS - Pedodontist
  • Services
      • Orthodontics
      • Orthodontics for Adults
      • Crowns & Caps for Children
      • Dental Sealants
      • Emergency Treatment
      • Extractions
      • Fluoride Treatment
      • Preventive Program
      • Pulpotomy
      • Space Maintainers
      • SDF
      • Dental Fillings
      • Teeth Whitening
      • Clear Aligners for Adults
      • Ceramic Crowns
      • Bridges
      • Veneers
      • Dentures
      • iTero® Intraoral Scanner
    • View All
  • FAQs
  • Dental Health
  • Contact
    • Contact Us
    • Request Appointment
  • Patient Login
  • Espanol

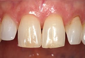
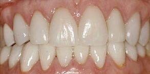
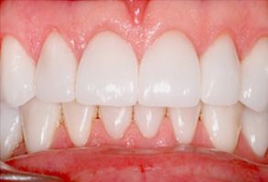
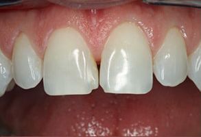
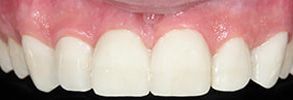
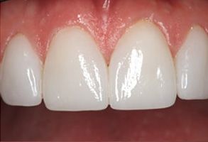
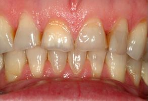
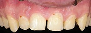
Smile Gallery

Additional Information

Our Location

79-11 41st Avenue
#A107
Elmhurst, NY 11373
(718) 205-2888

Follow Us